Bio
Aleksandra Polczynski went to art school in Warsaw, Poland. In 2007—a year after moving to the United States—she applied her skills to dental technology. Aleksandra worked at several major dental laboratories in the Chicagoland area, spending years refining her skills in ceramics and digital dentistry.
In 2017, Aleksandra established a boutique laboratory–VISUAL DENTAL ARTS–where she works side by side with dental clinicians specializing in digital technology, 3D designs, and ceramics. Additionally, she does patient consultations, facial scanning, and digital treatment planning. The practice where she works exclusively specializes in prosthodontics and maxillofacial prosthetics with expertise ranging from dental implants, cosmetic/esthetic dentistry, and dentures to restorative dentistry.
Aleksandra – you have a very interesting resume. You went to art school in Warsaw, then moved to the US, and are now a well-known dental technician specializing in high esthetic restorations. How did you go from art into the dental world?
Thank you! My journey began in art school in Warsaw, where I developed a strong foundation in esthetics, design, and craftsmanship. After moving to the U.S., I was introduced to the dental field and was immediately fascinated by the parallels between fine art and dental restorations. The attention to detail, the precision, and the opportunity to create something both functional and beautiful really resonated with me. That’s what led me to specialize in high esthetic restorations, where I could merge my artistic background with healthcare.
Do you think your background as an artist has helped you as a dental ceramist?
Absolutely. As a ceramist, you’re essentially sculpting miniature pieces of art every day. My artistic training gave me a strong understanding of color theory, form, and texture, which are crucial when working with ceramics to create restorations that look natural and harmonious. It’s that creative eye that helps me deliver lifelike results for patients.
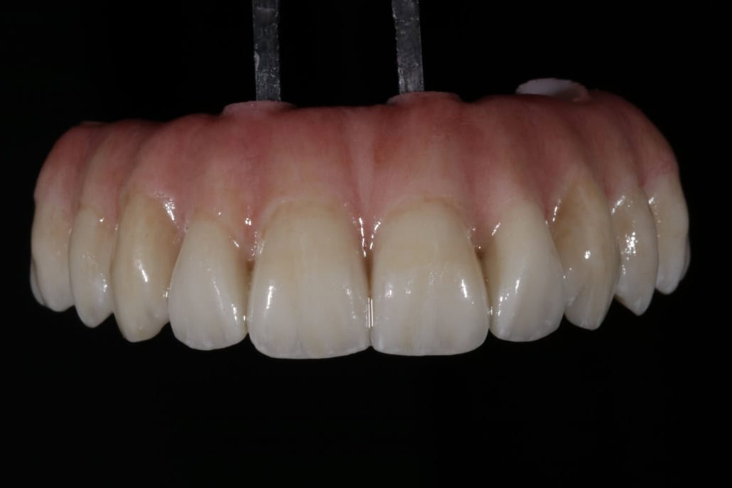
[Polished 3D printed All-on-X Implant]
Congratulations on opening your own Boutique lab, Visual Dental Arts. Again, “Arts” is in the title. What have been the most challenging topics when opening your own dental lab in the US? And what have been the most rewarding experiences in this process?
Thank you! Opening Visual Dental Arts has been both exciting and humbling. One of the biggest challenges was building everything from scratch in a new country—learning the business side, adapting to a different market, and gaining trust in a competitive industry. But the most rewarding part has been the freedom to express my vision fully, work with like-minded professionals, and contribute to beautiful patient outcomes. Helping other technicians and seeing our work make a real impact is incredibly fulfilling.
[3D Printed dental Crown]
[3D Printed crown laying on
a printed dental model]
You support a lot of other labs with entering the digital dental world. What are the biggest concerns of small lab owners when first going digital? Is it the investment?
One of the biggest concerns is definitely the initial investment—not just in terms of money, but also time and training. Many small lab owners fear that switching to digital means completely overhauling their processes. But what I always emphasize is that digitalization can be integrated gradually, and it ultimately leads to more efficiency, consistency, and growth potential.
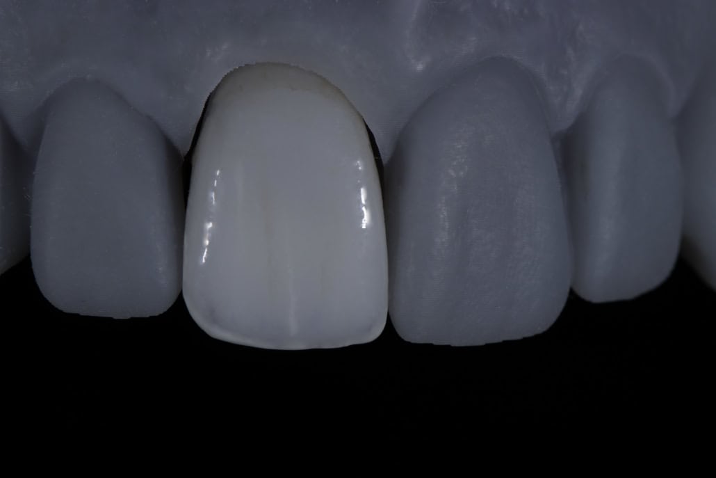
[Step-by-step glazing and characterization
of 3d printed All-on-X implant]
What is your advice to small lab owners wanting to go digital?
Start small, stay curious, and don’t be afraid to ask for help. Begin with one or two digital tools that align with your current workflow—maybe a scanner or a 3D printer—and build from there. Surround yourself with a strong network of support, whether it’s vendors, mentors, or other technicians. Education is key, and there are many resources out there to guide you.
How are you employing digital equipment and especially 3D printing in order to improve your patients and dental offices experience?
3D printing has been a game changer. It allows us to deliver highly accurate results faster, which improves turnaround times and reduces stress for both patients and dentists. From models to surgical guides to temporary restorations, we’re able to provide precise, predictable outcomes. And because we’re working digitally, communication with dental offices is streamlined, making the whole experience more efficient and collaborative.
You are currently using a Rapid Shape PRO 20 3D printer, WASH and CURE– How would you say your experience has been employing the 3D printing solution in your day-to-day workflows?
I’ve been very impressed with the Rapid Shape PRO 20. It’s reliable, fast, and fits seamlessly into our workflow. The print quality is consistently high, and the automated wash and cure units save us valuable time while ensuring optimal results. It’s a solution I feel confident recommending to other labs because it delivers on both performance and user-friendliness.
Team Rapid Shape is super excited to work more with you in the future and to build educational content around 3D printing with you. What are the next big topics in 3D printing for you that you would like to tackle with us?
I’m passionate about education and would love to work on content that helps demystify 3D printing for labs and clinics that are just starting their digital journey. I’m also excited about exploring materials that allow for fully digital workflows in esthetic restorations. The future lies in merging artistry with automation, and I’d love to be part of advancing that conversation with Rapid Shape.









